The ambiguity surrounding the lupus disease is having a negative effect on lupus patients, according to the Global Advisory Committee (GAC) of lupus experts who are part of the Addressing Lupus Pillars for Health Advancement (ALPHA) Project, a global initiative led by the Lupus Foundation of America (LFA).
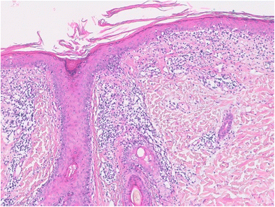
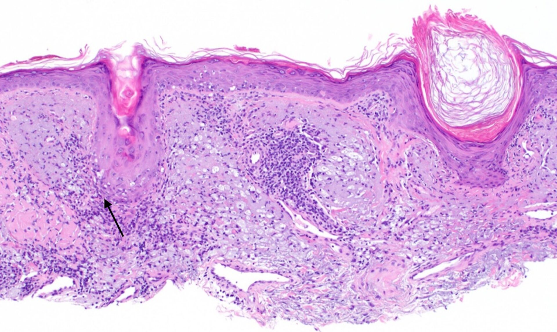
Lupus is a complex and crippling autoimmune illness that affects everyone differently, necessitating several doctor visits and months or years of searching for a definitive diagnosis.

Experts discuss how moving toward the creation of a lupus spectrum definition may help address significant health care challenges faced by people with lupus and shorten the time to diagnosis in a new paper titled “Lupus spectrum ambiguity has long-term negative implications for patients.” The paper was recently published in Lupus Science & Medicine.
“The ALPHA Project’s GAC continues to develop essential, data-driven guidance to help improve lupus care and treatment, and possibly get us closer to a cure,” says Susan Manzi, MD, MPH, report author and medical director of the Lupus Foundation of America, chair of the Allegheny Health Network Medicine Institute, and director of the Lupus Center of Excellence.

“Our study, analysis, and conversations have shown that there is a need for a clearer description of lupus, a better understanding of this disease’s natural history, and the application of biotechnology developments to help with accurate and prompt diagnosis.”
Members of the ALPHA Project clinical care team GAC, including lupus doctors, biotechnology specialists, representatives of patient advocacy groups from the LFA, and advocacy/government consultants, examined the causes and effects of ambiguity in the definition of lupus, including delays in diagnosis, through a series of virtual meetings.
Data from patient surveys, literature reviews, and patient testimonies were analyzed, and the results showed that: It can take up to six years or longer to diagnose lupus, according to information from the Research Accelerated by You (RAY) Registry of the Lupus Foundation of America and other sources.
These delays in diagnosis may have long-term effects and increase the risk of dying sooner. Only systemic lupus erythematosus (the most prevalent and severe type of lupus) categorization criteria are used to diagnose lupus.

Reducing the delay to diagnosis may be possible with the definition of the lupus spectrum.The experts concur that the following actions are likely required to advance toward a spectrum definition of lupus:
Utilize the professional networks of medical societies to spread pertinent information, establish provider training, and enhance clinical referral procedures.

Utilize recent findings and collaborate with the US Food and Medication Administration and other international regulatory health organizations to investigate broadening the definition of lupus for the purposes of drug development.
Establish consensus among several stakeholder groups across the global lupus landscape through consultation. More study on the lupus natural history and thorough biomarker testing.

The ALPHA Project, a comprehensive, multi-phase, international consensus endeavor aiming at identifying and tackling the most urgent hurdles to improving lupus outcomes, was introduced by the LFA in 2019.
The GAC has so far identified significant impediments to bettering lupus outcomes as well as identified and prioritized workable remedies for three major problems: clinical care, medication development, and access to care. This recently released clinical paper will assist in operationalizing the highest priority solutions for addressing barriers to clinical care, medication development, and access to treatment for persons with lupus. It is currently in the solution implementation phase.



GIPHY App Key not set. Please check settings